Skip to main content
Menu
Home
Our Team
Meet Our Team
Eric S. Rackley, DMD
Keenan W. Smith, DMD
Administrative Assistants
Dental Assistants
Dental Hygienists
About
About Vineyard Dental
Office Tour
Your First Visit
Insurance and Financing
Patient Portal
Blog
Dental Services
Dental Services Overview
Oral Wellness and Family Dentistry
Oral Wellness and Family Dentistry Overview
Comprehensive Dental Exams
Dental Cleaning
Periodontal Treatments
Diagnostic X-Rays
TMJ Exam
Pediatric Services
Emergency Dental Care
Cosmetic Dentistry
Cosmetic Dentistry Overview
Porcelain Veneers
KöR Teeth Whitening
Invisalign
®
Cosmetic Dental Bonding
Smile Makeover
Crown Lengthening (Gum Lift/Recontouring)
Restorative Dentistry
Restorative Dentistry Overview
Crown and Bridge Restorations
Dental Implant Restorations
Partial and Full Dentures
Tooth-Colored Fillings
Inlays and Onlays
Full Mouth Reconstruction
Comprehensive and Special Care
Comprehensive and Special Care Overview
Sleep Apnea Treatment
Night Guards
Oral Surgery
Extractions
TMJ Disorder and Treatment
Root Canals
Our Reviews
Smile Gallery
Contact
Request an Appointment
Email Us/General Questions
Map and Directions
463 Woodruff Rd
Greenville, SC 29607
(864) 668-3210
Virtual Consult
Patient Portal
(864) 668-3210
Vineyard Dental - Dentists in Greenville, South Carolina
Home
•
Smile Gallery
•
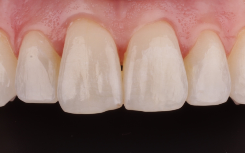
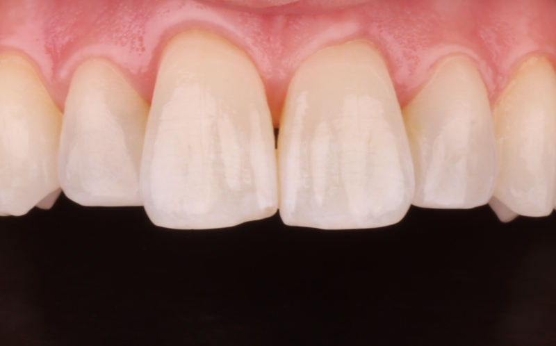
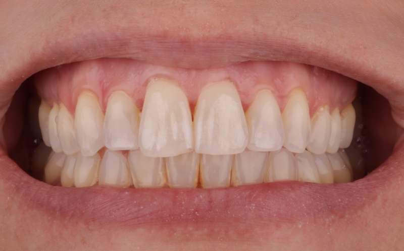
Patient 7
Patient 7
Case Details:
Invisalign
Back to Gallery
Close
Virtual Consult