Patient 6
Case Details:
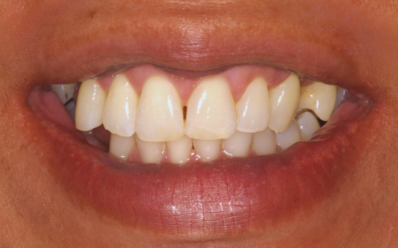
Upper 2 bridges and 4 veneers, lower 1 bridge
Upper 2 bridges and 4 veneers, lower 1 bridge
