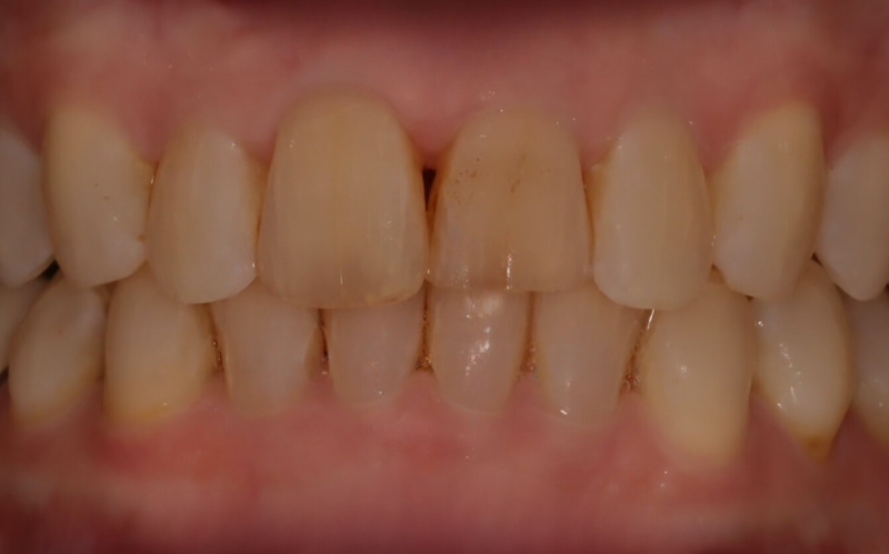
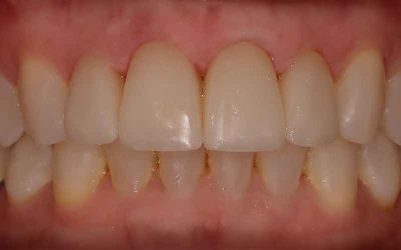
Patient 9
Case Details:
Invisalign® clear aligner therapy, whitening, 4 porcelain veneers
Invisalign® clear aligner therapy, whitening, 4 porcelain veneers
