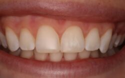
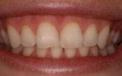
KöR Teeth Whitening
Teeth whitening is by far the most common type of cosmetic dentistry procedure. The professional-grade cosmetic whitening treatments we offer at our office, including KöR Teeth Whitening, give you a vibrant smile.
Why Teeth Lose Their Whiteness
There are many reasons that teeth lose their whiteness over time. Teeth are porous and allow stains to penetrate the enamel on the surface of the teeth. Drinking dark-colored liquids like coffee, tea or red wine can help to accelerate the process of darkening your teeth over time. Poor dental care can be an aggravating factor. Age can also play a role as the enamel on your teeth thins over time, allowing the teeth’s appearance to darken more quickly. Whatever the reason for darkening or staining may be, the good news is in nearly all cases, your teeth’s original whiteness can be restored.
Why Choose Professional Whitening
While there are many options for whitening teeth that don’t involve a trip to the dentist, over-the-counter treatments have significant disadvantages over a professional whitening. Do-at-home kits aren’t customized to your teeth. Whitening strips don’t always reach all surfaces of each tooth, leading to inconsistent surface whitening. The concentration of the whitening agent is also significantly lower in commercially available whitening kits.
Cosmetic whitening at our office will involve one to several appointments, depending on the level of staining. In-office whitening sessions usually last about an hour. For those looking for one of the most effective and advanced whitening systems available today, we proudly offer KöR Teeth Whitening, known for its ability to brighten even deeply stained teeth.
Whitening isn’t a permanent solution, depending on the types of beverages and foods you eat and drink as well as your level of daily dental care. It can, however, easily be maintained through touch up whitening over time. Ask us about our Whitening for Life Program!
If you are ready for a whiter, brighter smile, and maybe you’ve been frustrated with the results you’ve been able to get from over-the-counter whitening kits, professional whitening such as KöR Teeth Whitening may be just what you’re looking for.



